Critical Care Casebook Episode 4: Subcutaneous emphysema
Subcutaneous emphysema is typically benign and resolves on its own without the need for targeted therapy.
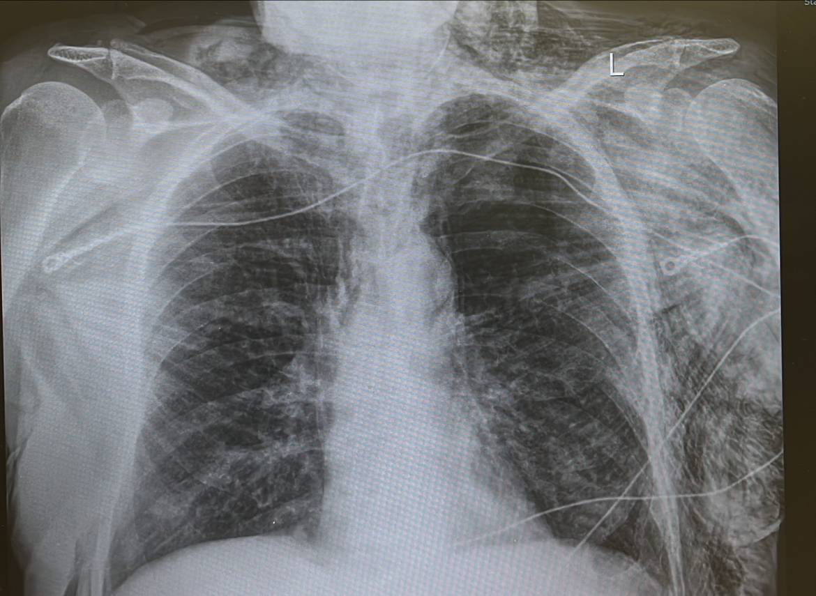
In rare instances, it can become extensive enough to threaten the airway. In these situations, small skin incisions (“blowholes”) may be created to facilitate the release of trapped air.
Management should also address the underlying pneumothorax, which generally requires placement of a new chest tube. When subcutaneous emphysema is severe, inserting a pigtail catheter may be technically challenging, and a traditional surgical chest tube may be more appropriate.
If there is concern for impending airway compromise, early intubation should be considered to secure and protect the airway. The use of a “blowhole” technique should be reserved as a last-resort intervention. The blowhole—an incision near the clavicle to release trapped air—is a temporary, last-resort maneuver described mainly in case reports. Definitive management means fixing the underlying lung or tracheal injury.

